HKU Faculty of Dentistry research proves arthrocentesis is more effective to cure temporomandibular disorders

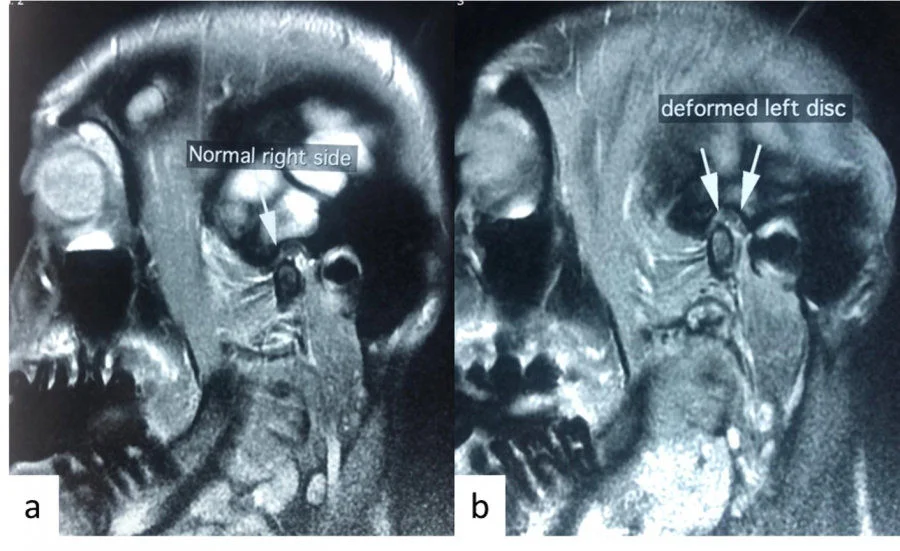
The temporomandibular joints (TMJ) are located in front of the ears. If you use your fingers to lightly press the recess in that place and open and close your mouth, you will feel the temporomandibular joint move. Muscle pain and joint disorders are the common causes of temporomandibular joint and muscle disorder (TMD). In the case of muscle pain, it may be related to parafunctions such as gum chewing, eating hard foods, clenching and tooth grinding at night. For joint disorders, it may be related to disc displacement and inflammation. There is a cartilaginous disc between the jaw bone and temporal bone of the TMJ.  If the disc becomes displaced, one may experience clicking or popping sounds during jaw function, and may contribute to pain in the TMJ or limited mouth opening. The pain may also spread to the head, face, or teeth etc.

According to the 2018 National Institute of Dental and Craniofacial Research, the prevalence of TMD is between 5% and 12%. Temporomandibular disorders are at least twice as prevalent in women as men while the rates of TMD are higher among younger persons.

Conventional approach to most types of TMDs begins with conservative treatment options, such as non-steroidal anti-inflammatory (NSAIDs), physiotherapy, soft diet and occlusal splint etc. When clinical improvement is not observed with conventional approach, arthrocentesis will be offered to patients with joint dysfunction. Arthrocentesis has been a standard treatment since the early 1990s, which involves the application of two small needles near the TMJ, and the joint is washed thoroughly with Normal Saline with the aim to clear the inflammatory substances and fibrous adhesion of the joints, and to reduce the negative pressure inside the TMJ. Arthrocentesis is a simple and safe treatment, which normally takes around 15-20 minutes in the clinical setting, with a high efficacy of 80-85%.

The question is when should the treatment progress from conventional approach to arthrocentesis? This has not been answered in any medical literature to date. Recent scientific research showed that early minimally invasive procedures may be beneficial in terms of pain reduction and improving jaw function.

Clinical Assistant Professor Dr Dion Li (Principal investigator) and Clinical Associate Professor Dr Mike Leung from the Oral and Maxillofacial Surgery of HKU Faculty of Dentistry recently applied arthrocentesis and occlusal splint as an integrated treatment for TMDs. A study with arthrocentesis as the first-line treatment was also conducted and compared to the efficacy of the conventional approach.

From the preliminary results (Attachment 1), the research team discovered that the integrated treatment with arthrocentesis and splint was more effective compared to conservative treatment alone. After undergoing the therapy for six weeks, the pain level of patients with integrated treatment was rated at 2.6 on a rating scale of 0 to 10 with 0 being no pain and 10 being severe pain, and their maximum mouth opening (MMO) reached a normal 40.8 mm on average; while the pain level of patients with conservative treatment remained at 6.5, and the mouth opening reached a maximum of 30.5 mm. MMO for adults generally ranges from 35 to 55mm.

“In general, if symptoms last for 3 months or more, it is defined as chronic disease. The consequence of delaying effective management could result in the pain becoming chronic, which has been shown to be more difficult to treat, while early consultation and treatment is likely to provide more clinical benefits,” said Dr Li.

Dr Dion Li continued, “According to our preliminary results, we believe that the integrated treatment with arthrocentesis and occlusal splint as an early treatment for TMDs is able to achieve a more rapid clinical response and it will be a growing trend in oral and maxillofacial surgery.”  

Dr Mike Leung added, “We will continue to conduct research on arthrocentesis to explore its immediate clinical effects and its efficacy, in the hope of providing more appropriate and precise treatment for patients with TMDs.”

Share